Publié le 19 novembre 2025 Chirurgie de la hanche
Corriger une inégalité de longueur après prothèse de hanche
Après la pose d’une prothèse de hanche, certains patients ressentent une impression d’inégalité de longueur entre les deux jambes. Cette gêne, parfois source de déséquilibre, de boiterie ou de douleurs lombaires, peut résulter d’un simple désajustement temporaire… ou d’une modification réelle de la géométrie articulaire. À Inside the Hip, centre hyperspécialisé à Lyon et Paris, la planification 3D et les implants sur mesure permettent d’éviter ce risque et de restaurer un alignement parfait du bassin et des membres inférieurs pour un résultat fonctionnel optimal.

La planification 3D : une solution pour prévenir les inégalités de longueur
Au sein de l’équipe Inside the Hip, nous proposons aux patients souhaitant bénéficier d’une implantation de prothèse de hanche une technique de planification 3D sur scanner suivie de la fabrication d’un implant sur mesure . Grâce à la précision du 3D et du sur-mesure, le risque d’inégalité de longueur après prothèse est quasiment nul ou extrêmement faible.
Nous sommes régulièrement consultés par des patients n’ayant pas bénéficié de cette technique et se plaignant d’une inégalité de longueur depuis l’implantation prothétique. Cette sensation est souvent immédiate dès le premier lever post-opératoire : impression que les genoux ne sont pas au même niveau, sensation de déséquilibre , boiterie et impression de monter une petite marche à chaque pas. L’inégalité de longueur peut également entraîner des douleurs lombaires, lombo-radiculaires et des tensions musculaires multiples.
Les compensations possibles après l’implantation prothétique
Parfois, cette sensation disparaît après quelques semaines grâce à des séances de rééducation. La consultation d’un podologue permet parfois de confectionner une orthèse plantaire qui équilibre les membres inférieurs.
En revanche, une orthèse plantaire ne permet pas de corriger les fortes inégalités de longueur, ni de modifier les tensions musculaires articulaires qui ont été altérées de manière non contrôlée lors de la chirurgie.
Le bilan d’imagerie : étape essentielle du diagnostic
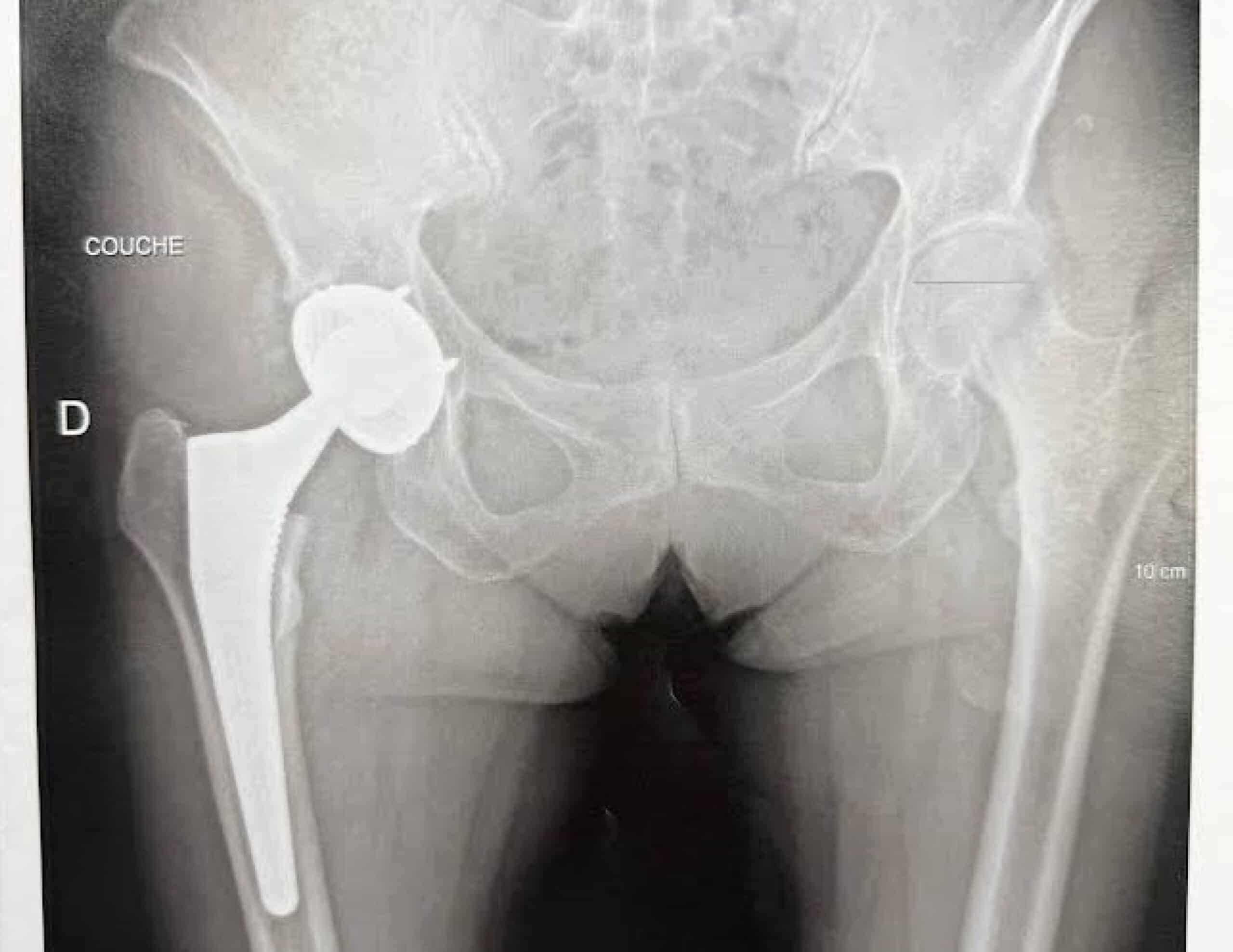
Le bilan d’imagerie doit permettre de quantifier l’inégalité de longueur. Il faut retrouver des radiographies du bassin debout de face, réalisées avant et après l’implantation prothétique.
Un bilan EOS (imagerie du rachis et des membres inférieurs en entier, debout) permet de mesurer la longueur des segments osseux et de quantifier le déséquilibre lombo-pelvi-fémoral. Mais l’examen de référence reste l’ imagerie 3D scanner.
Malheureusement, beaucoup de patients n’ont pas eu de scanner préopératoire, ce qui ne permet pas des mesures fiables de la géométrie articulaire.
Si un scanner préopératoire existe, la réalisation d’un scanner postopératoire permettra de comprendre parfaitement les modifications géométriques induites par la chirurgie.
Dans le cas inverse, un scanner bilatéral permettra une comparaison entre la hanche droite et la hanche gauche.
L’analyse scanner 3D pour identifier la cause de l’inégalité
L’analyse scanner est essentielle, car la sensation d’inégalité de longueur regroupe souvent trois problèmes intriqués :
- Un excès de longueur dans le sens cranio-podal
- Une variation non contrôlée de l’offset médio-latéral
- Une variation non contrôlée de l’antéversion fémorale (plan axial)
Grâce à une analyse tridimensionnelle au scanner, on pourra diagnostiquer une malposition de la cupule, une malposition de la tige fémorale, ou un mauvais réglage des tensions articulaires liés au choix de la tête prothétique.
Les solutions chirurgicales pour corriger une inégalité après prothèse
Il ne faut pas renoncer à rétablir un équilibre lombo-pelvi-fémoral optimal.
Nous réalisons donc souvent des révisions d’implants :
- Changement isolé de tête prothétique
- Changement de cupule acétabulaire
- Et/ou changement de tige fémorale
Selon le programme prévu, cette chirurgie de révision peut être réalisée par voie d’abord antérieure respectueuse de la musculature, ou par voie d’abord postérieure qui permet un accès contrôlé au fémur.
Nous sommes parfois amenés à implanter une prothèse sur mesure de révision afin de restaurer l’anatomie native de la hanche.
La prévention : clé d’un équilibre articulaire durable
La prévention des inégalités de longueur des membres inférieurs repose sur un examen clinique préopératoire rigoureux et une analyse radiologique en 2D et surtout en 3D (scanner préopératoire).
Le choix d’un implant sur mesure permet de sécuriser le geste opératoire et d’assurer un parfait réglage de l’équilibre articulaire, indispensable à une récupération fonctionnelle satisfaisante.
La planification 3D et les implants sur mesure sont d’autant plus nécessaires qu’il s’agit d’un patient jeune, sportif, ayant des attentes élevées ou des antécédents de pathologie rachidienne.